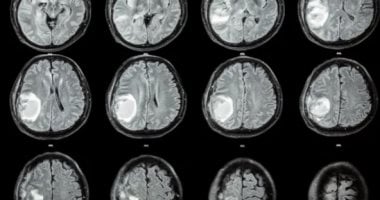
في حالة نادرة للغاية ، قام الأطباء بإزالة الجنين الجراحي من دماغ فتاة أمريكية واحدة ، ووجد الأطباء الجنين بعد أن أظهر الطفل تأخيرًا في تطوير المهارات الحركية ، ومحيط رأس مُضطر وتراكم السوائل في الدماغ ، وفقًا للعلم الحي ، وخلال سلسلة “الأجنحة في الحكايات”.
أشار تقرير نُشر في مجلة الأعصاب إلى أن الكتلة الموجودة في رأس الفتاة الصغيرة كانت “من المشيمة الواحدة المليئة بالتوأم” ، مما يعني أنه في الرحم ، كانت الأجنة قد شاركت نفس المشيمة ولكنها كانت لها أوجه تشابه منفصلة ، وهي أكياس جدار رقيقة وسوائل تحيط بالأجنة أثناء نموها.
هذه الأنواع من التوائم تأتي من نفس البيضة المخصبة ، مما يعني أنها متطابقة.
هذه الحالة الشاذة التي يلف فيها الجنين آخر جنينًا آخر باعتباره “الجنين داخل الجنين” ، أو في بعض الأحيان “توأم طفيلي” ، فإن التوأم الذي يتوقف عادة ينمو بينما يستمر الآخر في النمو ، وفقًا لصحيفة ميامي هيرالد.
تحدث هذه الظاهرة في 1 من كل 500000 ولادة حية ؛ عادة ما يظهر الجنين المشوه ككتلة في بطن الجنين الآخر ، محشورًا خلف الأنسجة التي تصطف على جدار البطن.
ومع ذلك ، في هذه الحالة ، ظهرت الكتلة في رأس الجنين “المضيف” ، ومن المحتمل أن تكون نشأت في وقت مبكر جدًا في النمو ، في المرحلة التي تكون فيها البيضة المخصبة هي مجموعة من الخلايا تسمى كيس الأسلحة.
قال الباحثون إن “داخل الجمجمة يتم إنشاؤها من الخراجات الأريمي دون انقطاع” ، مما يعني أن مجموعات الخلايا التي كانت تنمو إلى جنينين منفصلين ظلت مرتبطة ببعضها البعض.
تتطور الأجزاء المتصلة إلى الدماغ الأمامي للجنين المضيف وتغطي الجنين الآخر أثناء طي لوحة الأعصاب (لوحة الأعصاب هي بنية تتشكل في التطور المبكر وتؤدي إلى ظهور الجهاز العصبي.
أشار تقرير الحالة لعام 2020 في مجلة جراحة الجراحة العصبية العالمية أيضًا إلى أن الجزء الداخلي من الجنين داخل الجمجمة نادر للغاية مع نشر أقل من 20 تقريرًا في هذه الحالة في جميع أنحاء العالم.
لمطالعة المزيد: موقع السفير وللتواصل تابعنا علي فيسبوك السفير و يوتيوب السفير .
